
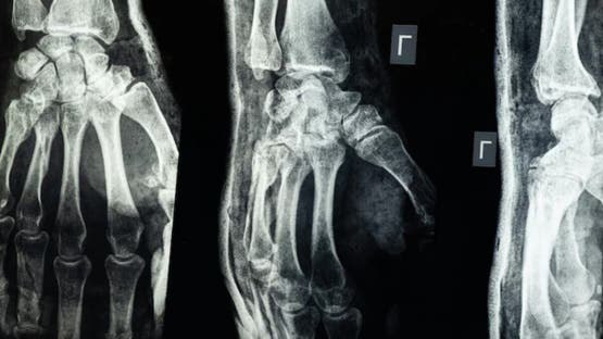
أعلن فريق بحثي في مقاطعة تشيجيانغ شرق الصين عن ابتكار طبي جديد يتمثل في "غراء عظمي" قادر على معالجة الكسور وتركيب الشظايا العظمية خلال ثلاث دقائق فقط، في خطوة وُصفت بأنها اختراق علمي في عالم جراحة العظام، بحسب ما نقل موقع "إن دي تي في" NDTV.
يحمل الابتكار الطبي الجديد اسم Bone-02، وقد استلهم رئيس الفريق الطبي الدكتور لين شيانفِـنغ، فكرته بعد ملاحظته للطريقة التي تلتصق بها المحار بجسور تحت الماء، بحسب ما نقلت عنه صحيفة "غلوبال تايمز" Global Times.
وأوضح أن هذا الغراء يتميز بقدرته على التثبيت السريع والدقيق حتى في بيئة غنية بالدم، مع ميزة إضافية كونه يُمتَص طبيعياً من الجسم أثناء عملية الالتئام، ما يلغي الحاجة إلى عمليات جراحية لاحقة لإزالة المسامير أو الصفائح المعدنية.
وأكدت الاختبارات المعملية أن Bone-02 نجح في تحقيق نتائج جيدة من حيث السلامة والفعالية. وفي إحدى التجارب، أُجريت العملية في أقل من 180 ثانية (ثلاث دقائق)، بينما كانت طرق العلاج التقليدية تتطلب وقتاً طويلاً لزرع صفائح فولاذية ومسامير.
وبحسب الاختبارات المعملية، تمكن الغراء من تحقيق قوة ربط تفوق 400 رطل، وقوة قص تبلغ نحو 0.5 ميغاباسكال، وقوة ضغط تقارب 10 ميغاباسكال. كما أظهرت التجارب على أكثر من 150 مريضاً نتائج ناجحة، ما يعزز احتمالية أن يصبح بديلاً للزراعات المعدنية التقليدية التي تُستخدم في تثبيت العظام. كما يقول العلماء إنه قد يقلل أيضًا من مخاطر العدوى.
يذكر أن محاولات تطوير مواد لاصقة عظمية تعود إلى أربعينيات القرن الماضي، لكنها فشلت بسبب مشاكل في التوافق الحيوي. أما الابتكار الصيني الجديد فقد يفتح الباب أمام مستقبل طبي يقلل من المضاعفات والالتهابات ويختصر زمن العمليات الجراحية.